






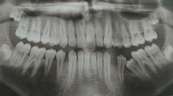
У моего ребенка выпали зубы передние верхние уже как 2,5 года. Новые зубы не растут. Один зуб вылез и тот поперек и на половину, и остановился в росте.
Ребенку уже 12 лет, а он без зубов. Снимок делали, зубы есть. Все остальные зубы вылезли один за другим, а вот с передними проблема.
Что делать с зубом, который вылез неправильно? Он может развернуться сам со временем или нет? Что делать?
Маловероятно самостоятельное исправление зубов.
Рекомендуем вам обратиться к стоматологу-ортодонту. В ряде случаев встречается анкилоз зуба или что либо, блокирующее прорезывание. Причину лучше искать на КЛКТ.
Стоматолог-имплантолог, скуловой имплантолог, хирург, челюстно-лицевой хирург
Стаж: 20 лет
Стоматолог-терапевт, детский стоматолог, пародонтолог, эндодонтист
Стаж: 23 года
Стоматолог-терапевт, детский стоматолог, ортодонт
Стаж: 14 лет