






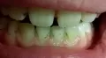
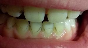
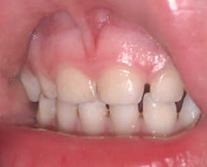
Сыну два года четыре месяца. На зубах появился темный налет. Ходили к стоматологу пять месяцев назад, и нам сделали фторирование, но налет все равно продолжает появляться. Зубы чистим каждый день. Хочу знать причину появления темного налета.
Возможно необходимо сдать какие-нибудь анализы?
У ребенка кариес, причина появления разносторонняя, это, естественно, гигиена и генетика. Анализы тут никакие не нужны, с ним все в порядке, постарайтесь добавить в рацион ребенка больше кальция и обратитесь к опытному детскому стоматологу.
Стоматолог-имплантолог, скуловой имплантолог, хирург, челюстно-лицевой хирург
Стаж: 20 лет
Стоматолог-терапевт, детский стоматолог, пародонтолог, эндодонтист
Стаж: 23 года
Стоматолог-терапевт, детский стоматолог, ортодонт
Стаж: 14 лет