






15 лет назад была пролеченная верхняя левая 6-ка, зуб на штифте. Проблем с ним не было.
Год назад удалили нижнюю 6-ку слева. 5 месяцев назад начала замечать, когда зубы соприкасаются, друг с другом, с верхней 6-ой со штифтом, чувствуется несильный дискомфорт, и легкая боль. Просто я поставила имплант и на днях протежируют, боюсь, что будет боль при жевании.
Что это может быть? Может это из-за того, что нет опоры около года, что то произошло с ней?

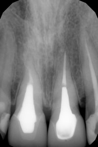
Вы чувствуете дискомфорт в верхнем 6-ом зубе, так как в нем есть воспалительный процесс. По данному рентгеновскому снимку (хронический апикальный периодонтит). Зуб следует перелечить. Проконсультируйтесь очно со стоматологом-терапевтом.
Стоматолог-имплантолог, скуловой имплантолог, хирург, челюстно-лицевой хирург
Стаж: 20 лет
Стоматолог-терапевт, детский стоматолог, пародонтолог, эндодонтист
Стаж: 23 года
Стоматолог-терапевт, детский стоматолог, ортодонт
Стаж: 14 лет