






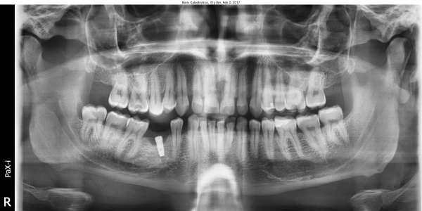
1,5 года назад поставил имплант в клинике "N". Спустя примерно год собрался его протезировать в другой клинике, так как переехал жить в другой город. Там мне сказали, что для данного места поставленный имплант очень маленький. Зуб не будет на нем держаться, так как вкручен он неверно, криво.
Что мне делать с зубом? Могу ли я вернуть деньги за поставленный имплант в клинике "N"?
Вы вправе потребовать деньги за имплантацию. Попробуйте договориться мирным путем. Возможно, клиника захочет пойти на встречу и сделает Вам протезирование за свой счет.
Стоматолог-имплантолог, скуловой имплантолог, хирург, челюстно-лицевой хирург
Стаж: 20 лет
Стоматолог-терапевт, детский стоматолог, пародонтолог, эндодонтист
Стаж: 23 года
Стоматолог-терапевт, детский стоматолог, ортодонт
Стаж: 14 лет