🔥 Имплантация за 3750 ₽/мес.

Как вылечить воспаление в зубе, который покрыт вкладкой?

Галина9 сентября 2020 г.

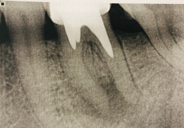
У меня установлена единственная вкладка, корня нет. Вкладку установили пять лет назад, все было нормально. Месяц назад заныло, и вздулся флюс, при этом десна не воспалилась и не покраснела, не болело, а ныло неприятно. Пропила антибиотик неделю и проводила полоскание йод-соль-сода. К стоматологу попаду не скоро, но снимок сделала.

Можно ли пролечить воспаление не снимая вкладку? Если нет, то возможно ли снять существующую вкладку, пролечить и ее же установить на место?

Прикрепленые фото
Эксперт topdent
5.0
3 отзыва
Стоматолог-терапевт, эндодонтист Стаж: 21 год

Зуб необходимо перелечить в ближайшее время, необходимо купировать воспалительный процесс. Для этого удаляется вкладка, проводится ревизия корневых каналов, после изготавливают новую вкладку и покрывают коронкой зуб в случае необходимости.

Связанные услуги

Статьи по теме

Пока нет комментариев
Вас консультируют